The tests repeated were a chest X ray, pulmonary function tests and the exercise tolerance test along with associated arterial blood draws. The consultation with my assigned physician gave me the following information:
- Apparently in the past year, the pulmonary function test equipment had been upgraded to newer models. The doctor advised me that the newer equipment was showing patients a result that was 5% better than the previous equipment. My results stayed the same so that meant that there was a large possibility that my actual results were not as good as the prior year.
- The exercise tolerance test with arterial blood draws, showed that I became fatigued quicker and as a result did not max out at the same heart rate that I was able to perform at the previous year.
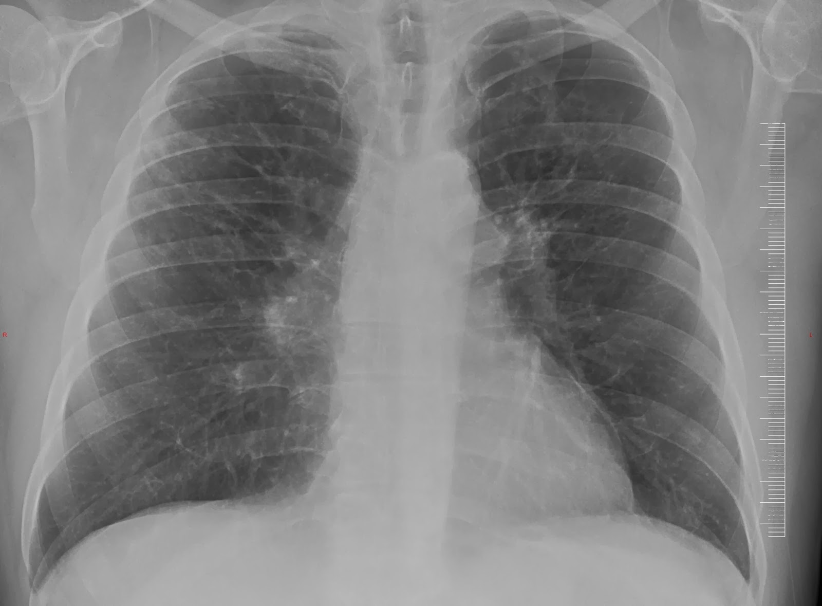
- In comparing the new chest X ray to the prior years X ray, the doctor displayed an overlay of the new and the old. It was clearly evident that more scar tissue had formed on the lungs in the twelve months since my last visit. The CBD was clearly progressing. (See pictures below -- more cloudiness is evident)
![]() |
| September 2012 |
![]() |
| September 2013 |
I am relieved and willing to try them to improve my energy levels and hang onto the quality of life that I have grown fond of. I say, "Give me the drugs." My wife says that I am always a good patient and do what the doctor tells me to do." She's right, I follow doctor's orders strictly. This will be no problem for me. I'll share more about treatment in the next post.

